CONTACTEZ-NOUS

Morpho Future Training Dentistry

Formation

Formation

Conférences

Conférences

Travaux Pratiques

Travaux Pratiques

Formez-vous
PHILOSOPHIE

PHILOSOPHIE

Notre profession ne cesse d’évoluer, au rythme des avancées technologiques et scientifiques, mais il est important de ne pas en oublier pour autant les bases et les fondements théoriques. Les multiples facettes de notre profession nous poussent à approfondir constamment nos connaissances dans l’optique d’une pratique consciencieuse et réfléchie. Les impératifs biologiques, fonctionnels et esthétiques doivent être au cœur de notre réflexion en respectant le concept fondamental d’économie tissulaire.

La dentisterie d’aujourd’hui est le fruit d’un passé, d’un présent mais aussi d’une volonté d’avenir »
parallax image

Votre formateur

Le Docteur Louis TOUSSAINT est diplômé de la Faculté de Chirurgie Dentaire Paris V, Université PARIS-DESCARTES. Assistant Hospitalo-Universitaire à la Faculté de Chirurgie Dentaire PARIS V (Département de Prothèse) pendant 4 ans, il conserve encore aujourd’hui une activité hospitalière en tant que Praticien Hospitalier dans le service d’Odontologie de l’Hôpital Louis Mourier (Colombes). Le Dr Louis TOUSSAINT est également titulaire d’un Master Santé mention Biologie Cellulaire, Physiologie et Pathologie (Université-Paris V).

Il occupe depuis 7 ans le poste de rédacteur en chef de la revue de prothèse QDRP aux Editions Quintessence et est membre du groupe international Bio-Emulation.

Il exerce depuis 2019 dans une structure pluridisciplinaire à Orgeval (Yvelines), où regrouper toutes les spécialités permet d’assurer une dentisterie contemporaine minimalement invasive et biomimétique, respectueuse des tissus naturels.

Il s’est spécialisé dans la dentisterie adhésive et les restaurations collées, et plus particulièrement dans les réhabilitations globales. Auteur de nombreuses publications et conférencier, il a créé « MORPHO » dans l’optique de continuer à partager son expérience au plus près des praticiens, au travers d’un accompagnement personnalisé sous forme de conférences, travaux pratiques et démonstrations sur patients.

dsc_3945
Programme

Programme

MODULE I :

Restaurations adhésives postérieures

overlays_1

MODULE II :

Bridges Cantilevers

silver-2

MODULE III :

Facettes

bridgecoll_

MODULE IV :

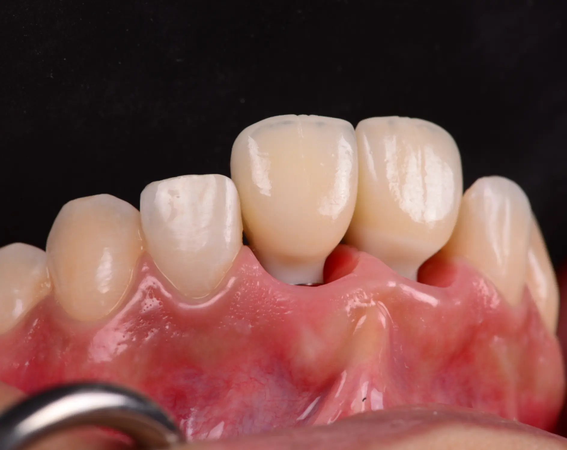
Prothèse implantaire

00000799

MODULE V :

Réhabilitations globales

photolabo

MODULE VI :

Photographie

fac8

MODULE VII :

Laboratoire

400347014_311234921850327_3030639926156448539_n
overlays_1
silver-2
bridgecoll_
00000799
photolabo
fac8
400347014_311234921850327_3030639926156448539_n

RESTAURATIONS ADHÉSIVES POSTERIEURES

  • Isolation

  • Protocoles de collage

  • Onlays/Overlays

  • Endocouronnes

BRIDGES CANTILEVERS

  • Indications

  • Matériaux

  • Principes de préparation

  • Protocoles de collage

FACETTES

  • Indications

  • Matériaux

  • Principes de préparation

  • Protocoles de collage

PROTHÈSE IMPLANTAIRE

  • Concepts prothétiques

  • Planification

  • Transferts personnalisés

  • Piliers anatomiques et CFAO

  • Cas complexes

REHABILITATION GLOBALES

  • Analyse

  • Planification

  • Mock Up

  • Choix des matériaux

  • Assemblage

  • Facettes palatines

PHOTOGRAPHIE

  • Fondamentaux

  • Réglage des paramètres

  • Lumières et couleurs

  • Matériel

  • Logiciels et communication

LABORATOIRE

  • Techniques de laboratoire

  • Réalisation d’un wax up

  • Matériaux

  • Modélisation 3D et usinage

Contactez-nous

Vous souhaitez vous former avec le Docteur Louis Toussaint ?

Contactez-nous, indiquez-nous vos coordonnées, et nous reviendrons vers vous pour définir des dates de formation

    capture_d_cran_2025_03_07_21_26_27